Protesi mobile
I SERVIZI
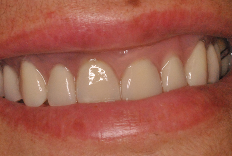
La protesi mobile non deve essere vista come una soluzione di ripiego o meno pregiata rispetto alla protesi fissa.
Con una protesi mobile è possibile sostituire in maniera confortevole gli elementi dentari mancanti ed è ottima per le situazioni instabili.
Infatti è facile poter modificare la protesi mobile esistente per potersi adattare alla perdita di nuovi elementi dentali.
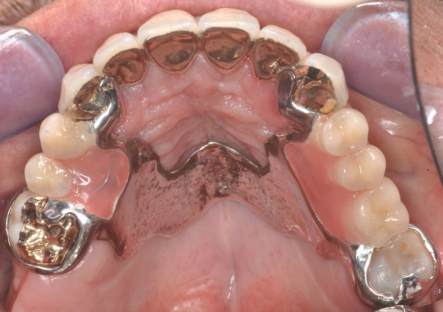
La protesi mobile non è solamente la classica dentiera, ma anche la protesi scheletrata che sostituisce solo una parte dei denti e può essere ad ancoraggio dentale o implantare, per garantire maggiori comfort e non andare a sovraccaricare i denti residui
La protesi mobile o mista può essere un buon modo per riabilitare una bocca, con un rapporto costo-beneficio accettabile e un ottimo comfort per il paziente.
Telefono
Asti : +39 0141 594030
Susa (Torino) :
Cellulare: +39 3896803031
Telefono: +39 0122 860099
Studio dentistico
Via dei Cappellai, 11
14100 Asti (AT)
Corso Stati Uniti 10
10059 Susa (TO)
